A patient presented with persistent and escalating pain one week following a root canal treatment and crown placement on a premolar tooth. Despite continuous intake of antibiotics and painkillers, the patient reported that the pain intensity was higher than before the initial procedure, significantly affecting her quality of life.
Clinical Examination Findings:
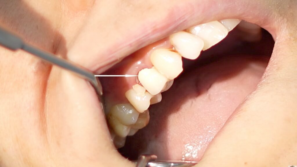
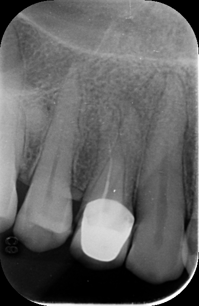
Upon examination, it was noted that the crown was improperly placed with faulty cementation; however, this was unlikely the primary cause of the severe pain. Radiographic analysis revealed a critical oversight during the initial root canal treatment: the premolar tooth had two root canals, but only one canal was partially filled, and the second canal was completely untreated. The filled canal was only obturated halfway, leaving the apical portion unsealed, which is a common source of persistent infection and pain.


Treatment Plan and Patient Communication:
I thoroughly discussed the radiographic findings and treatment options with the patient, emphasizing that the tooth is still salvageable. I explained that a retreatment procedure was necessary to properly clean, shape, and fill both canals to eliminate the infection and resolve the pain. I reassured the patient that once the retreatment is successfully completed, she should experience complete relief and no longer require any medication for pain or infection.
The crown was removed using high-speed carbide burs, and the old filling was cleared. Both canals were thoroughly cleaned and filled to the apex, followed by composite buildup. The patient was recalled after three days for new crown placement and reported complete pain relief, no longer requiring any medication.


Patient Awareness: Risks of Incomplete or Substandard Dental Treatment
- Always ensure your dental treatment is performed by a qualified and experienced dentist; improper procedures can lead to serious complications.
- Incomplete root canal treatments—such as missed canals or partially filled canals—can result in persistent pain, infection, and the need for retreatment.
- Poorly fitted crowns or faulty cementation may indicate rushed or careless dental work.
- If you experience unresolved pain or suspect a problem after treatment, seek a second opinion and request a thorough examination, including X-rays.
- Be cautious of practitioners who dismiss your symptoms or avoid explaining your treatment steps and findings.
- Quality dental care involves transparency, proper diagnosis, and clear communication about procedures and outcomes.
About the Author:
This case was managed and documented by Dr. Rouf ul Aziz, Passion Dentistry. All images and content belong to me and my clinic—unauthorized use or reproduction is not permitted.
At Passion Dentistry, we are dedicated to providing high-quality, ethical dental care and sharing knowledge for educational purposes only.
For more information, visit https://www.passiondentistry.com or contact us directly.