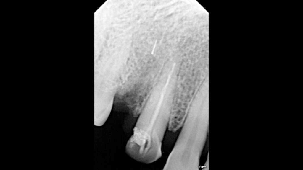
A patient visited our clinic, complaining of pain and occasional swelling on her face after a previous root canal treatment on her right premolar tooth. During our examination and X-rays, I discovered that the earlier dentist had overfilled the canal and, more seriously, had broken a canal shaping file beyond the end of the root, deep into the surrounding bone—showing a lack of proper root canal technique. The X-rays revealed that about 5% of the broken file was still in the canal, while the rest was lodged in the bone.



I explained the situation to the patient, noting that the tooth had been treated improperly and both the tooth and broken file would need to be removed. After removing the porcelain crown, I found that the restoration underneath was temporary and that dental caries were not properly cleaned out—an important first step before any root canal treatment



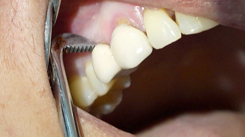
I then extracted the tooth, which showed overfilled canals, but unfortunately, the broken file did not come out with the tooth. A follow-up X-ray confirmed the file remained in the bone. Using a high-magnification microscope and special illumination, I performed a surgical procedure to carefully remove the broken file from the bone. The patient’s discomfort was resolved after a few days, and she recovered well.



> Content Warning:
> The following images show real dental surgical procedures and may contain blood or graphic details. Viewer discretion is advised.


This case highlights the importance of open communication between patients and their dentists, as well as the need for professionalism in dental care. In many countries, including India, Pakistan, Bangladesh, and their neighbors, dental treatments are sometimes offered at very low costs. While this may seem appealing, it can lead to improper or incomplete procedures—what I call “fake dentistry.” I encourage everyone to always discuss their treatment thoroughly and choose qualified professionals to ensure safe and effective dental care.
About the Author:
This case was managed and documented by Dr. Rouf ul Aziz, Passion Dentistry. All images and content belong to me and my clinic—unauthorized use or reproduction is not permitted.
At Passion Dentistry, we are dedicated to providing high-quality, ethical dental care and sharing knowledge for educational purposes only.
For more information, visit https://www.passiondentistry.com or contact us directly.